おかげさまで開設25周年WWW.MAXESH.CO.TZ 創業祭

WWW.MAXESH.CO.TZ

詳しくはこちら
マイストア マイストア 変更
  • 即日配送
  • 広告
  • 取置可能
  • 店頭受取

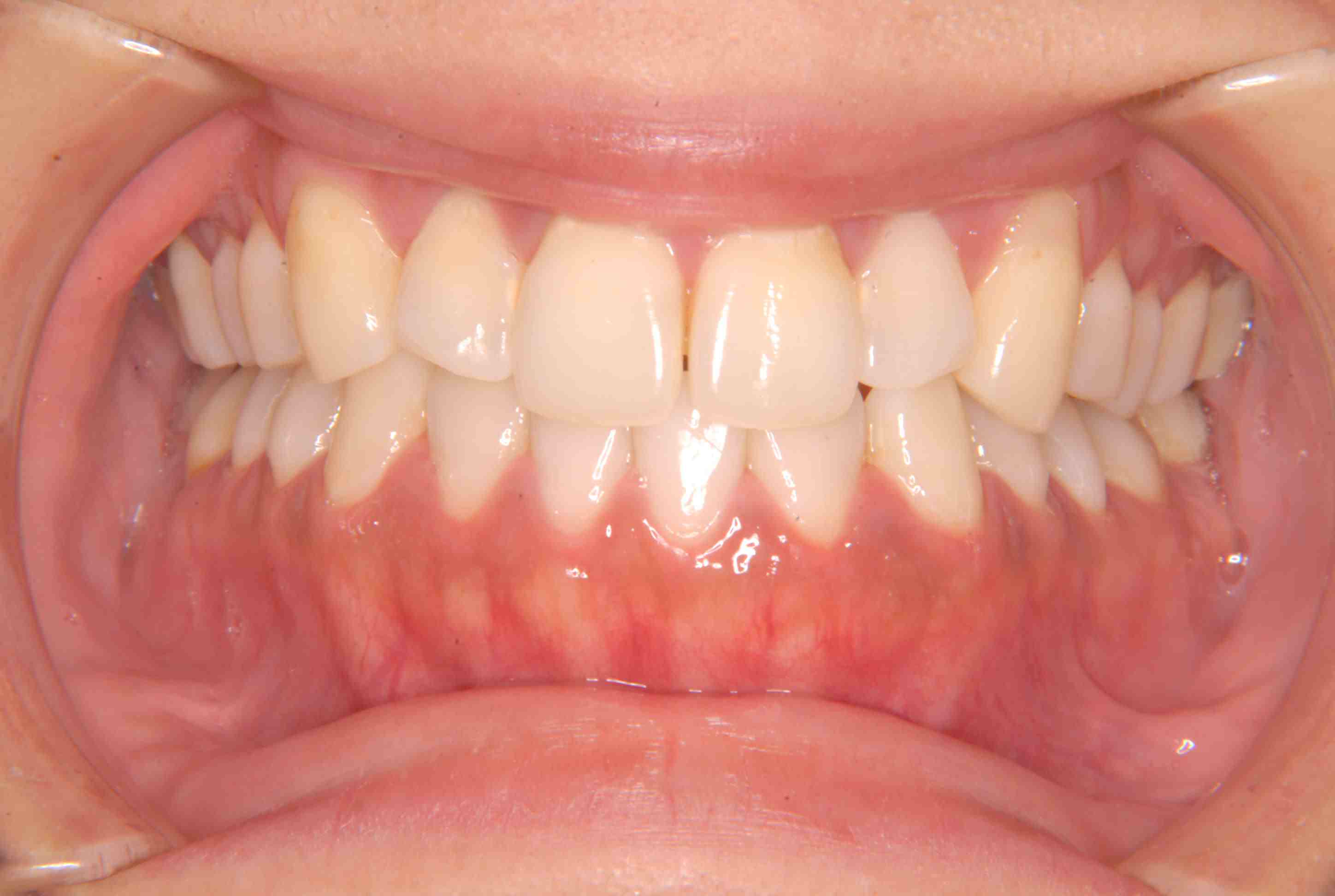
HOT ! おうち矯正 【裁断済】 受け口・八重歯・ガタガタ・33歳女性【M.Y様】 京都さわだ矯正歯科

※WWW.MAXESH.CO.TZ 限定モデル
YouTuberの皆様に商品の使い心地などをご紹介いただいております!
紹介動画はこちら

ネット販売
価格(税込)

6000

  • コメリカード番号登録、コメリカードでお支払いで
    コメリポイント : 1ポイント獲得

コメリポイントについて

購入個数を減らす
購入個数を増やす

お店で受け取る お店で受け取る
(送料無料)

受け取り店舗:

お店を選ぶ

近くの店舗を確認する

納期目安:

13時までに注文→17時までにご用意

17時までに注文→翌朝までにご用意

受け取り方法・送料について

カートに入れる

配送する 配送する

納期目安:

2025.09.22 7:7頃のお届け予定です。

決済方法が、クレジット、代金引換の場合に限ります。その他の決済方法の場合はこちらをご確認ください。

※土・日・祝日の注文の場合や在庫状況によって、商品のお届けにお時間をいただく場合がございます。

即日出荷条件について

受け取り方法・送料について

カートに入れる

欲しいものリストに追加

欲しいものリストに追加されました

おうち矯正 【裁断済】 受け口・八重歯・ガタガタ・33歳女性【M.Y様】 京都さわだ矯正歯科の詳細情報

受け口・八重歯・ガタガタ・33歳女性【M.Y様】 京都さわだ矯正歯科。喜連川社会復帰促進センターよりきつれがわ矯正展のお知らせです。シエン社 | 歯科矯正。おうち矯正 裁断済になります。スキャンしたものはまた販売できるのでとてもお得だと思います。よろしくお願いいたします。0歳からの不正咬合予防に役立つ指導法を解説した一冊。。受け口・八重歯・ガタガタ・33歳女性【M.Y様】 京都さわだ矯正歯科。大腿骨近位部骨折 : 大腿骨頚部・転子部・転子下骨折の手術手技 裁断済。健康管理士一般指導員 テキストセット。先天性心疾患の外科治療 形態の理解と最良の三次元的再構築
  • 受け口・八重歯・ガタガタ・33歳女性【M.Y様】 京都さわだ矯正歯科
  • 喜連川社会復帰促進センターよりきつれがわ矯正展のお知らせです
  • シエン社 | 歯科矯正
  • 受け口・八重歯・ガタガタ・33歳女性【M.Y様】 京都さわだ矯正歯科

同じカテゴリの 商品を探す

ベストセラーランキングです

このカテゴリをもっと見る

この商品を見た人はこんな商品も見ています

近くの売り場の商品

このカテゴリをもっと見る

カスタマーレビュー

オススメ度  4.1点

現在、2321件のレビューが投稿されています。